تكلفة عملية تقوس الساقين 2026
يعاني كثير من المرضى من تقوس الساقين، وهي مشكلة لا تتوقف عند الشكل الجمالي فقط، بل قد تمتد لتؤثر بشكل مباشر على كفاءة مفصل الركبة وتؤدي مع الوقت إلى خشونة مبكرة وآلام مزمنة تعيق الحركة وجودة الحياة.
ومع تطور جراحات العظام، أصبح علاج تقوس الساقين جراحيًا حلًا فعّالًا وآمنًا في الحالات المناسبة، ما يجعل التساؤل عن تكلفة عملية تقوس الساقين 2026 من أكثر الأسئلة شيوعًا لدى المرضى.
في هذا الدليل، نوضح لك كل ما تحتاج معرفته عن تكلفة عملية تقوس الساقين، والعوامل التي تتحكم فيها، مع شرح مبسط لخيارات العلاج الجراحي الحديثة.
خبرة أكثر من 40 عام
دكتور هشام عبد الباقي استشاري جراحة العظام و المفاصل فى جامعة عين شمس
احجز موعدك الآن
ما هو تقوس الساقين ومتى يحتاج إلى جراحة؟
تقوس الساقين هو انحراف في محور الطرف السفلي، وقد يكون موجودًا منذ الطفولة نتيجة لين العظام أو مرض بلاونت، أو مكتسبًا بسبب كسر التأم بشكل غير سليم.
المشكلة الحقيقية لا تكمن فقط في المظهر، بل في اختلال توزيع الأحمال على مفصل الركبة، ما يؤدي إلى زيادة الضغط على جزء معين من الغضروف وظهور خشونة مبكرة في مفصل الركبة.
عند المرضى بعد سن 18 عامًا، يصبح التدخل الجراحي هو الحل العلاجي الوحيد لتصحيح التقوس ومنع تفاقم الخشونة، وهنا يبدأ التفكير الجدي في تكلفة عملية تقوس الساقين وجدواها على المدى البعيد.
أنواع تقوس الساقين
تختلف أنواع تقوس الساقين حسب اتجاه وشدة الانحراف، وأكثرها شيوعًا هو التقوس للداخل حيث تتباعد الركبتان عند الوقوف، ويؤدي هذا النوع إلى زيادة الضغط على الجزء الداخلي من مفصل الركبة. النوع الآخر هو التقوس للخارج، حيث تقترب الركبتان وتبتعد القدمان، وقد يسبب تحميلًا زائدًا على الجزء الخارجي من المفصل.
كما توجد حالات أقل شيوعًا يكون فيها التقوس مركبًا أو مصحوبًا باختلاف في طول الساقين. تحديد نوع التقوس بدقة خطوة أساسية لاختيار طريقة العلاج المناسبة وتقدير تكلفة عملية تقوس الساقين بشكل صحيح.

العوامل التي تحدد تكلفة عملية تقوس الساقين 2026
لا توجد تكلفة ثابتة تناسب جميع المرضى، لأن تكلفة عملية تقوس الساقين تختلف حسب عدة عوامل طبية دقيقة، أهمها:
- درجة التقوس وزاوية الانحراف
- طريقة الجراحة المستخدمة
- مدى الحاجة لإجراءات مصاحبة مثل خياطة الغضروف الهلالي او إعادة بناء الرباط الصليبي
- نوع الشرائح أو المثبتات المستخدمة
- مدة الإقامة بالمستشفى والمتابعة بعد الجراحة
- خبرة الجراح والفريق الطبي
- وجود تأمين صحي يغطي تكاليف الجراحة أو جزء منها
ولهذا يتم تحديد تكلفة عملية اعوجاج القدم بعد الفحص الإكلينيكي الدقيق وإجراء الأشعات المتخصصة التي تُظهر الطرف السفلي بالكامل.
وفيم يلي نستعرض معكم اشهر الطرق الجراحية لعلاج تقوس الساقين.
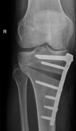
أولًا: اصلاح تقوس الساقين باستخدام الشرائح والمسامير
تُعد هذه الطريقة من أكثر جراحات تصحيح التقوس شيوعًا، وتناسب الحالات ذات الزوايا المتوسطة، بشرط عدم وجود خشونة شديدة بالمفصل.

يتم خلال الجراحة إجراء قطع عظمي دقيق في أعلى عظمة القصبة، ثم تصحيح زاوية التقوس وتثبيت العظم باستخدام شريحة ومسامير طبية عالية الجودة.
تساعد هذه الجراحة على:
- استقامة الساق
- إعادة توزيع الأحمال على مفصل الركبة
- تقليل الألم
- إبطاء أو منع تطور خشونة الركبة
- زيادة طفيفة في طول الساق
عادة لا يحتاج المريض إلى إزالة الشرائح والمسامير، إلا إذا رغب في ذلك بعد اكتمال الالتئام.
تكلفة عملية تقوس الساقين باستخدام الشرائح والمسامير تتأثر بنوع الشرائح، ومدى الحاجة إلى ترقيع عظمي، لكنها تظل خيارًا اقتصاديًا فعّالًا على المدى الطويل مقارنة بتكاليف علاج الخشونة لاحقًا.

ثانيًا: جراحة استعدال تقوس الساقين بالمثبت الخارجي (إليزاروف)
تُستخدم هذه التقنية في الحالات ذات التقوس الشديد أو المركب.
يتم تثبيت جهاز خارجي (المثبت الخارجي إليزاروف) على الساق، ويُجرى قطع عظمي بسيط، ثم يبدأ تصحيح التقوس تدريجيًا خلال عدة أسابيع، مع تكوّن عظم جديد بشكل طبيعي.
مميزات هذه الجراحة:
- مناسبة لزوايا التقوس الكبيرة
- تسمح بالمشي والتحميل المبكر
- لا تحتاج إلى ترقيع عظمي
- إمكانية زيادة طول الساق إذا لزم الأمر
وبسبب طول فترة العلاج والمتابعة، فإن تكلفة عملية تقوس الساقين بالمثبت الخارجي قد تكون أعلى نسبيًا، لكنها في حالات معينة تكون الحل الأمثل طبيًا.

لماذا تُعد الجراحة استثمارًا صحيًا؟
عند تقييم تكلفة عملية تقوس الساقين، من المهم النظر إليها كاستثمار طويل الأمد، لأنها:
- تقلل احتمالية الحاجة إلى عملية تركيب مفصل ركبة صناعي مستقبلًا
- تحافظ على المفصل الطبيعي لأطول فترة ممكنة
- تحسن الحركة والمشي وجودة الحياة
- تقلل تكاليف العلاج المزمن للألم والخشونة
خبرة أكثر من 40 عام
دكتور هشام عبد الباقي استشاري جراحة العظام و المفاصل فى جامعة عين شمس
احجز موعدك الآن
خبرة تصنع الفارق
يتمتع الدكتور هشام عبد الباقي، استشاري جراحة العظام والمفاصل بجامعة عين شمس، بخبرة تتجاوز 40 عامًا في جراحات تصحيح التقوس وقطع العظام، مع اعتماد أحدث التقنيات الجراحية والتخطيط الدقيق لكل حالة لضمان أفضل النتائج بأعلى درجات الأمان.

ختامًا
تحديد تكلفة عملية تقوس الساقين 2026 لا يعتمد على رقم ثابت، بل على تقييم طبي دقيق يأخذ في الاعتبار درجة التقوس، حالة مفصل الركبة، والطريقة الجراحية الأنسب لكل مريض.
ومع الاختيار الصحيح للتوقيت والجراحة، يمكن لعملية تصحيح التقوس أن تُحدث فارقًا حقيقيًا في شكل الساق، كفاءة الحركة، والحفاظ على مفصل الركبة لسنوات طويلة وتجنب خشونة الركبة المبكره.
خبرة الجراح ودقة التخطيط قبل العملية هما العاملان الأهم لتحقيق نتيجة آمنة ومستقرة. ومع خبرة تمتد لأكثر من 40 عامًا، يضع الدكتور هشام عبد الباقي صحة المريض ونتائج العلاج طويلة المدى في المقام الأول، مع الالتزام بأحدث المعايير الطبية العالمية في جراحات تصحيح تقوس الساقين.
الخطوة الأولى تبدأ بتقييم صحيح… والتصحيح المبكر قد يجنبك الكثير من الألم والتدخلات الجراحية مستقبلًا.
مقالات ذات صلة
تقوس الساقين في الكبار
تصليح أعوجاج (تقوس) الساق
الأسئلة الشائعة عن تكلفة عملية تقوس الساقين
تختلف التكلفة حسب حالة المريض وطريقة الجراحة المستخدمة، ويتم تحديدها بدقة بعد الفحص والأشعات.
في الغالب يُستخدم المصطلحان للدلالة على نفس المشكلة، لكن التكلفة الفعلية تعتمد على مكان وزاوية الانحراف.
الألم بعد الجراحة يكون محدودًا ويمكن التحكم فيه بالأدوية، ويقل تدريجيًا مع التعافي.
تختلف حسب نوع الجراحة، لكنها تتراوح عادة بين 6 إلى 12 أسبوعًا للعودة التدريجية للنشاط الطبيعي.
التأجيل قد يؤدي إلى زيادة الخشونة وصعوبة العلاج لاحقًا، لذلك يُنصح بالتقييم المبكر.

اترك تعليقاً