أحدث طرق علاج بروز عظمة ابهام القدم 2026
علاج بروز عظمة ابهام القدم ضرورة طبية وليست مجرد إجراء تجميلي كما قد يظن البعض. وذلك لما لهذه الحالة من أثر كبير على القدرة الحركية للمريض وأداء انشطته اليومية والتي قد يعيقها الالم الناتج عن بروز عظمة ابهام القدم.
حالة بروز عظمة ابهام القدم، أو ما يُعرف طبيًا باسم Hallux Valgus، هي أحد أكثر تشوهات اصابع القدم شيوعًا لدى البالغين، ويُسمى أيضًا: إصبع القدم الأروح، الوكعة، أو انحراف إصبع القدم الكبير.
تحدث هذه الحالة عندما ينحرف الإصبع الكبير باتجاه الأصابع المجاورة، مما يؤدي إلى ظهور نتوء عظمي بارز (Bunion) عند قاعدة الإبهام من الجهة الداخلية للقدم. ومع الوقت، قد يزداد التشوه ويصاحبه ألم والتهاب وصعوبة في ارتداء الأحذية.
في هذا الدليل الشامل، نوضح لك كل ما يتعلق بـ علاج بروز عظمة ابهام القدم، وأحدث التطورات الجراحية لعام 2026،
خبرة أكثر من 40 عام
دكتور هشام عبد الباقي استشاري جراحة العظام و المفاصل فى جامعة عين شمس
احجز موعدك الآن
ما هو بروز عظمة ابهام القدم (Hallux Valgus)؟
بروز عظمة ابهام القدم ليس مجرد مشكلة شكلية، بل هو تغير هيكلي في مفصل المشط الأول. ينشأ نتيجة اختلال في محاذاة عظام القدم والأربطة، مما يؤدي إلى بروز رأس عظمة المشط مكونةً ما يُعرف بالوكعة.
الإحصائيات تشير إلى أن الحالة تصيب ما يقرب من 23% من البالغين بين 18 و65 عامًا، وتصل النسبة إلى أكثر من 35% بعد سن 65، مع انتشار أعلى بين السيدات بسبب طبيعة الأحذية والعوامل الهرمونية.
ما هو السبب في بروز عظمة فى ابهام القدم؟
الإجابة الدقيقة تعتمد على كل حالة، لكن الأسباب الأكثر شيوعًا تشمل:
- الاستعداد الوراثي وضعف الأربطة.
- ارتداء الأحذية غير المناسبة مثل الضيقة أو أحذية الكعب العالي لفترات طويلة.
- السمنة والضغط الزائد على مفصل القدم.
- بعض الامراض مثل الروماتويد والنقرس.
- تشوهات هيكلية مصاحبة مثل القدم المسطحة.
- إصابات سابقة في القدم.
بمعنى أدق، بروز عظمة ابهام القدم هو نتيجة تفاعل بين عوامل وراثية وميكانيكية مع نمط الحياة الخاطئ.
أعراض بروز عظمة ابهام القدم
في المراحل المبكرة قد يكون التشوه غير مؤلم، لكن مع تقدم الحالة تظهر أعراض مثل:
- ألم عند المشي أو الوقوف لفترات طويلة.
- احمرار وتورم عند قاعدة الإصبع الكبير.
- صعوبة في ارتداء الأحذية.
- تنميل أو وخز أحيانًا.
- تشوه واضح في شكل القدم.
عند هذه المرحلة، يصبح التفكير في علاج بروز عظمة ابهام القدم ضرورة لتحسين جودة الحياة.

هل يمكن علاج بروز عظمة ابهام القدم بدون جراحة؟
العلاج التحفظي يهدف إلى تقليل الألم وليس تصحيح التشوه نهائيًا. ويشمل:
- ارتداء أحذية طبية واسعة.
- استخدام دعامات أو مصححات للإبهام مثل وسادة من الجل لتقليل الاحتكاك بين موضع البروز والاحذاء، مُباعد السليكون يباعد بين ابهام القدم والاصبع المجاور، ارتداء جبائر طبية ليلًا للحفاظ على وضع الاصبع ومنع زيادة البروز.
- كمادات باردة لتخفيف الالتهاب.
- مضادات الالتهاب اللاستيرويدية.
- دهانات موضعية.
- جلسات علاج طبيعي.
هذا النوع من العلاج قد يؤجل الحاجة إلى عملية بروز عظمة ابهام القدم، لكنه لا يُعيد العظمة إلى موضعها الطبيعي.

أحدث طرق علاج بروز عظمة ابهام القدم 2026
شهدت السنوات الأخيرة تطورًا ملحوظًا في التقنيات الجراحية، وأصبح الهدف هو تصحيح التشوه بدقة مع أقل تدخل جراحي وأسرع تعافٍ.
أبرز هذه التطورات هو:
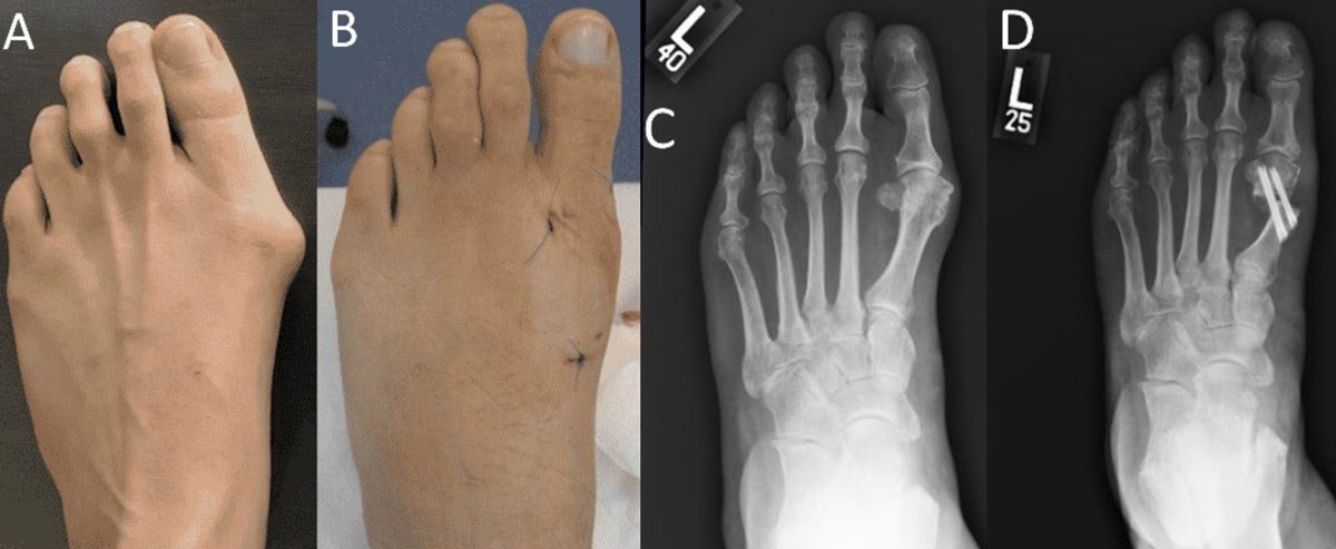
الجراحة طفيفة التوغل (MIS)
MIS اختصار لـ Minimally Invasive Surgery
أي: الجراحة بالحد الأدنى من التدخل الجراحي.
في هذه التقنية يتم إجراء شقوق صغيرة جدًا (3–4 مم) بدلاً من الشق الجراحي التقليدي الكبير، ويتم استخدام أدوات دقيقة لإعادة محاذاة العظام وإزالة النتوء العظمي، ثم تثبيت العظام بمسامير خاصة.
خبرة أكثر من 40 عام
دكتور هشام عبد الباقي استشاري جراحة العظام و المفاصل فى جامعة عين شمس
احجز موعدك الآن
مزايا علاج بروز عظمة ابهام القدم بتقنية MIS:
- ألم أقل بعد الجراحة
- نزيف أقل
- تقليل إصابة الأنسجة المحيطة
- ندبات تجميلية صغيرة جدًا
- إمكانية المشي مبكرًا
- سرعة العودة للحياة الطبيعية
هذه التقنية أحدثت نقلة نوعية في عملية بروز عظمة ابهام القدم، خاصة للحالات المتوسطة وبعض الحالات المتقدمة.

كيف تتم عملية بروز عظمة ابهام القدم؟
يعتمد اختيار الطريقة الجراحية على درجة الانحراف وزوايا الأشعة. وهي قياسات دقيقة يتم تحديدها من خلال الأشعة السينية للقدم أثناء الوقوف.
يقوم الطبيب بقياس ما يُعرف بـ زاوية انحراف إبهام القدم (Hallux Valgus Angle – HVA)، وهي الزاوية بين عظمة المشط الأولى وإصبع القدم الكبير، وكذلك زاوية التباعد بين عظمتَي المشط الأولى والثانية (Intermetatarsal Angle – IMA).
هذه الزوايا تُحدد درجة التشوه بدقة، وبناءً عليها يتم اختيار التقنية الجراحية المناسبة، سواء كانت تصحيحًا بسيطًا أو تدخلًا أعمق لإعادة ضبط محور العظمة.
بشكل عام، تهدف الجراحة إلى:
- إعادة محاذاة الإصبع الكبير.
- إزالة النتوء العظمي.
- تصحيح زاوية عظمة المشط.
- استعادة وظيفة المفصل.
يمكن إجراء الجراحة تحت تخدير نصفي أو كلي حسب الحالة الصحية للمريض.
ما بعد عملية بروز عظمة ابهام القدم
فترة التعافي تختلف حسب التقنية المستخدمة، لكن غالبًا:
- المشي بحذاء طبي خلال أول أسبوعين.
- العودة للقيادة خلال 2–3 أسابيع.
- ارتداء الأحذية العادية بعد 6 أسابيع تقريبًا.
- التعافي الكامل خلال 3–4 أشهر.
في الجراحة طفيفة التوغل، تكون فترة النقاهة أقصر مقارنة بالجراحة التقليدية.

نسبة نجاح علاج بروز عظمة ابهام القدم
تشير الدراسات الحديثة إلى أن نسب النجاح تتجاوز 85–90% عند اختيار التقنية المناسبة وتنفيذها بواسطة جراح متخصص في جراحات القدم والكاحل.
النتائج لا تقتصر على تخفيف الألم، بل تشمل أيضًا تحسن الشكل الجمالي للقدم ومنع تكرار التشوه.
لماذا تختار دكتور هشام عبد الباقي لعلاج بروز عظمة ابهام القدم؟
الخبرة الجراحية الدقيقة في تشخيص درجات Hallux Valgus واختيار الإجراء الأنسب لكل حالة، مع استخدام أحدث تقنيات MIS، تمنح المريض فرصة حقيقية للتعافي السريع والعودة للحياة الطبيعية بأقل مضاعفات ممكنة.
الهدف ليس فقط إجراء عملية بروز عظمة ابهام القدم، بل استعادة راحة الحركة وثقة المريض في خطواته.
ختامًا
في النهاية، فإن علاج بروز عظمة إبهام القدم لا يقتصر على إزالة الجزء البارز فقط، بل يهدف إلى تصحيح ميكانيكية القدم بالكامل واستعادة توازنها الطبيعي.
ويعتمد اختيار نوع العلاج سواء تحفظي أو جراحي — على درجة الانحراف، وزوايا الأشعة، وشدة الأعراض وتأثيرها على الحياة اليومية.
ومع تطور تقنيات الجراحة طفيفة التوغل (Minimally Invasive Surgery – MIS)، أصبحت النتائج أكثر دقة، وفترة التعافي أقصر، مع تقليل المضاعفات وتحسين الشكل الوظيفي والجمالي للقدم. التقييم الدقيق والخطة العلاجية المناسبة هما المفتاح للحصول على أفضل نتيجة طويلة المدى.
مقالات ذات صلة
- القدم المسطحة (الفلات فوت) عند الكبار
- عملية تثبيت اصبع القدم الأكبر
- تيبس (خشونة) إبهام القدم Hallux rigidus
خبرة أكثر من 40 عام
دكتور هشام عبد الباقي استشاري جراحة العظام و المفاصل فى جامعة عين شمس
احجز موعدك الآن
اسئلة شائعة عن علاج بروز عظمة ابهام القدم
نسبة العودة قليلة جدًا عند تصحيح السبب الهيكلي واختيار التقنية المناسبة، مع الالتزام بالتعليمات بعد الجراحة.
يتم التحكم في الألم باستخدام بروتوكولات حديثة لتسكين الألم، خاصة في الجراحة طفيفة التوغل والتي تقلل من الالم بدرجة كبيرة.
غالبًا في نفس يوم الجراحة، وذلك باستخدام حذاء طبي خاص.
لا، فالعلاج التحفظي يخفف الأعراض فقط لكنه لا يصحح انحراف اصبع القدم الأروح.
السبب غالبًا مزيج بين عوامل وراثية وضغط ميكانيكي مستمر على المفصل بسبب الأحذية غير المناسبة أو طبيعة تكوين القدم أو الوزن الزائد.

اترك تعليقاً