جراحة تثبيت مفصل الركبة أو ما يسمى بسمكرة الركبة أو (إيثاق مفصل الركبة) تعد الحل الأخير بعد فشل طرق العلاج الأخرى سواء كان العلاج التحفظي أو حتى الجراحي.
وجراحة تثبيت المفاصل عامةً هي جراحة قديمة نادرًا ما يقوم بها الأطباء في الوقت الحالي. ونستثني من ذلك جراحة تثبيت مفصل الكاحل، فمازالت هذه الجراحة أحد الإجراءات المستخدمة لعلاج وتثبيت المفصل وذلك نظرًا لطبيعة تكوين الكاحل والقدم.
عملية تثبيت مفصل الركبة عبارة عن دمج عظمتي الفخذ والساق بهدف التخلص من الألم وتحسين ثبات المفصل. وتُجرى هذه الجراحة لحالات معدودة من إصابات وأمراض الركبة، عندما يكون المريض، على سبيل المثال، يعاني من ضرر لا يمكن إصلاحه في مفصل الركبة، وفشلت عملية إعادة بناء المفصل وفشلت كذلك جراحة تركيب مفصل الركبة الصناعي.
أما عن باقي الحالات فسنذكرها لاحقًا في هذا المقال الذي ندعوكم لقراءته.
ما هي جراحة تثبيت مفصل الركبة؟
جراحة تثبيت المفاصل بصفة عامة هي دمج العظام ببعضها البعض لتكوين عظمة واحده صلبة. ويتم هذا الدمج باستخدام شرائح ومسامير نخاعية، وفي حالة تثبيت أو إيثاق مفصل الركبة، يتم دمج عظمتي الفخذ والساق (الظنبوب) مما يٌفقد المفصل قدرته على الانثناء بشكل كامل. ولكن ورغم فقدان مفصل الركبة لأحد أهم وظائفه وهي الثني إلا أن هذه الجراحة تُشكل أملاً في بعض الحالات الطبية القليلة.

فمع الاستخدام الواسع والناجح في الوقت ذاته لتركيب المفاصل الصناعية، خاصةً في مفصلي الركبة يندر حاليًا استخدام هذا التكنيك في الركبة.
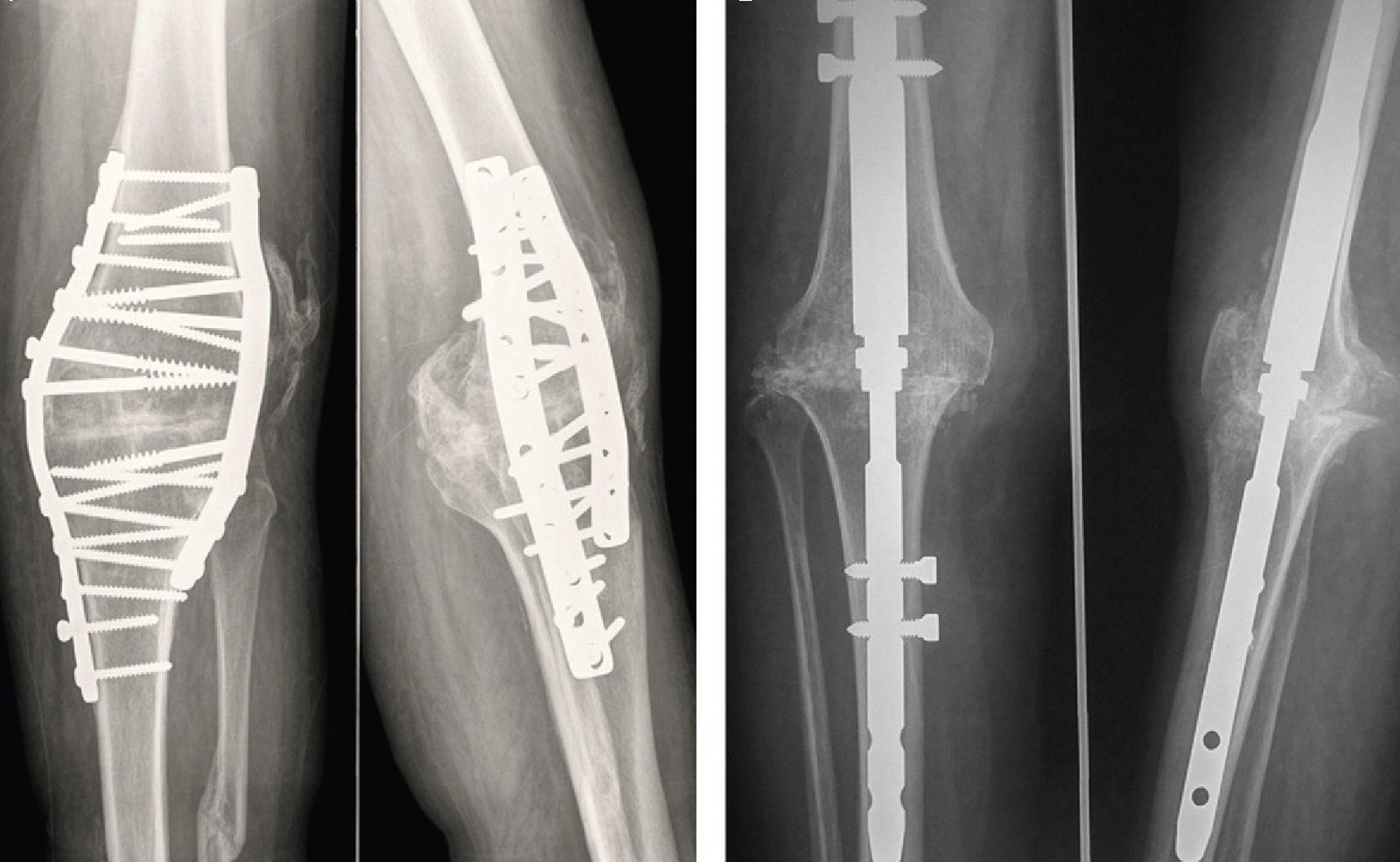
وتختلف طرق إجراء هذه الجراحة باختلاف تشخيص الإصابة وحالة العظام والأنسجة الرخوة المحيطة بها، وأيضًا الحالة الصحية العامة للمريض. فقد يقوم الطبيب حسب الحالة المرضية، بتثبيت المفصل داخليًا عن طريق المسامير النخاعية اوالشرائح، أو عن طريق التثبيت الخارجي باستخدام مثبتات خارجيه مثل جهاز اليزاروف.

الحالات التي تستدعي إجراء جراحة إيثاق مفصل الركبة
يلجأ الأطباء لتثبيت أو سمكرة مفصل الركبة في حالة فشل جراحة تركيب مفصل الركبة الصناعي وفشل إعادة تركيب المفصل الصناعي.
والسبب الرئيسي في فشل هذه الجراحة هو الالتهاب الصديدي المزمن والذي لا يستجيب للعلاج والمضادات الحيوية مما يضطر الطبيب لإعادة الجراحة وتركيب مفصل آخر، وعند تكرار الالتهاب الصديدي، لا يجد الطبيب بُدًا من اللجوء لدمج عظمتي الفخذ والساق.

وعلى ما لهذه الجراحة من سلبيات تتمثل في فقدان المفصل لقدرته على الانثناء وفقدان نطاقه الحركي، إلا أنها تعتبر إجراء إنقاذ في الحالة التي سبق ذكرها لمساعدة المريض على المشي مرة أخرى.
كما قد يتم اللجوء لهذه الجراحة اذا حدث تلف شديد فى ركبة مريض صغير السن مثل فى حالات:
- التهاب المفاصل الروماتويدي
- التهاب المفصل الصديدي
- الأورام
خبرة أكثر من 40 عام
دكتور هشام عبد الباقي استشاري جراحة العظام و المفاصل فى جامعة عين شمس
احجز موعدك الآن
خطوات الجراحة
جراحة إيثاق مفصل الركبة هي عملية جراحية كبرى. تستغرق العملية حوالي 2-3 ساعات وتُجرى تحت التخدير العام او نصفي.
يقوم جراح العظام بإزالة الغضروف والعظام التالفة من أطراف عظام الساق والفخذ، وربطهما باستخدام الصفائح المعدنية أو المسامير، او المثبت الخارجي لتثبيت العظام في مكانها.
وأحيانًا يستخدم الجراح قطع من العظام (التطعيم أو الترقيع العظمي) بين طرفي المفصل لتحفيز الالتئام و حتى تنمو الخلايا العظمية وتربط بين العظمتين.
ويأخذ الطبيب قطع العظام هذه من جسم المريض نفسه، وغالبًا ما يتم أخذها من عظام الحوض أو يمكن أخذها من بنك العظام في حالة توفره.

بعد الاستعانة بالتطعيم العظمي أو دمج العظام بالمسامير النخاعية والصفائح المعدنية يقوم الطبيب بإغلاق الجرح وإفاقة المريض.
التعافي بعد جراحة تثبيت مفصل الركبة
يبقى المريض في المستشفى بعد إتمام الجراحة لمدة يومين إلى أربعة أيام. وبعد الخروج من المشفى يجب على المريض اتباع التعليمات التي سوف يمليها عليه الطبيب بحرص ودقة ومنها؛
- رفع الساق لتقليل الألم والتورم.
- تناول الأدوية والمسكنات كما وصفها الطبيب.
- استخدام عكازات عند الحركة.
- تجنب تحميل وزن الجسم على الركبة المصابة لمدة 12 أسبوع.
يستغرق التعافي الكامل من جراحة تثبيت الركبة بضعة شهور، ومع ذلك، فإن معظم المرضى قادرون على العودة إلى أنشطتهم الطبيعية، مثل المشي وصعود الدرج، بعد شهور من الجراحة.
مضاعفات جراحة تثبيت مفصل الركبة
كما سبق وأسلفنا، فإن جراحة ايثاق مفصل الركبة من الجراحات الكبرى. ومع ذلك فهي جراحة آمنة بشكل عام وتتميز بنسبة نجاح مرتفعة. فبمجرد اندماج عظمتي الساق والفخذ، يستقر المفصل ولا يشعر المريض بالألم وهذا هو الغرض الأساسي من الجراحة.
وبالرغم من فقدان المرضى للحركة والمرونة في المفصل إلا أنهم يفضلون ذلك عن استمرار المرونة والحركة مع الألم الشديد وذلك حسبما أوضح المرضى عند سؤالهم في دراسات أجرتها العديد من الجهات الطبية.
وتشمل المضاعفات المرتبطة بالجراحة ما يلي:
- جلطات الدم.
- تلف الأعصاب المحيطة بموضع الجراحة.
- العدوى البكتيرية.
- آلام في أسفل الظهر
- حدوث فرق في الطول بين الساقين وذلك نتيجة لدمج عظمتي المفصل والتخلص من الغضاريف.
- مع انتقال مزيد من الضغط والتحميل على مفصل الورك قد يحدث خشونة به.
- تأخر الالتئام ولا سيما فى المدخنين
جراحة تثبيت مفصل الركبة جراحة ناجحة بشكل عام. وتتميز إلى جانب التخلص من الألم أنها إجراء دائم لا يحتاج لتكراره، فلا يوجد أجزاء صناعية تتآكل أو تصاب بالعدوى. ومع الالتزام بتوصيات الطبيب بعد الجراحة واتمام فترة التشافي والالتزام بالعلاج الطبيعي، يعود المريض لعمله وممارسة أنشطته اليومية.
توصيات قبل الإقدام على الجراحة
ويوصي الأطباء عادةً باستنفاذ كل الوسائل العلاجية قبل الخضوع للجراحة. وتشتمل هذه الوسائل على:
- العلاج الدوائي
- العلاج الطبيعي
- فقدان الوزن الزائد
- حقن الركبة
- زراعة الغضاريف
يطلب الجراح من المريض إيفائه بتاريخه الطبي، وتاريخ تعرضه لإصابات أو أمراض في الركبة، وإذا ما كان يعاني من أية أمراض مزمنة، والاطلاع على الأدوية التي يتناولها المريض، حال وجودها. ويطلب منه التوقف عن تناول ما لا يلائم التخدير والجراحة مثل أدوية سيولة الدم أو غيرها مما يرى الطبيب عدم توافقها مع الاجراء الجراحي.
في نهاية الأمر، درجة الإصابة وطبيعتها وحالة المريض الصحية العامة وعمره هي ما تحدد طبيعة الجراحة التي سيوصي الطبيب بإجرائها.
أسئلة شائعة عن جراحة إيثاق الركبة.
هي إجراء جراحي يتم عن طريق دمج عظمة الفخذ مع عظمة الساق (الظنبوب) وذلك بغرض تقويض حركة المفصل وضمان ثباته والتخلص من الألم.
يتم تثبيت أو إيثاق مفصل الركبة عن طريق دمج عظمتي الفخذ والساق لتكوين عظمة واحدة. ويتم هذا التثبيت داخليًا باستخدام القضبان والشرائح والمسامير المعدنية، أو خارجيًا باستخدام المثبتات الخارجية.
تستغرق الجراحة من ساعتين إلى ثلاث ساعات.
تستغرق مدة التعافي من جراحة تثبيت مفصل الركبة حوالي 6 أشهر وقد تمتد إلى عام للوصول إلى التعافي التام من الجراحة.
نعم قد يحدث فرق في الطول بين الساقين نظرًا لدمج عظمتي المفصل وإزالة الغضاريف. ولكنه فرق صغير في الطول وقد لا يُلاحظ و قد يتم تطويل العظام بجهاز الاليزاروف لتعويض فرق الطول.
References
