خطوات علاج اصابة الرباط الصليبي الامامي 2025
اصابة الرباط الصليبي الامامي من أكثر إصابات الركبة التي تؤثر على جودة الحياة والحركة، خاصة لدى الرياضيين.
والوعي بالاصابة بعد قطع الرباط الصليبي الأمامي في وقت حدوثها وسرعة العرض على الطبيب لاتخاذ خطوات علاج اصابة الرباط الصليبي الامامي مبكرًا، تساهم بشكل كبير في الحد من مضاعفات الاصابة.
في هذا المقال، نستعرض أحدث خطوات علاج اصابة الرباط الصليبي الامامي لعام 2025 مع دكتور هشام عبد الباقي،والدور المهم الذي يلعبه كأحد ابرز اطباء العظام في مصر، في تطبيق أحدث بروتوكولات العلاج التحفظي والجراحي لمثل هذه الإصابات.
خبرة أكثر من 40 عام
دكتور هشام عبد الباقي استشاري جراحة العظام و المفاصل فى جامعة عين شمس
احجز موعدك الآن
كيف تعرف اصابة الرباط الصليبي؟
تبدأ اعراض الرباط الصليبي غالبًا بعد حركة مفاجئة أو التواء قوي في الركبة، يليها شعور بعدم الثبات وصوت يشبه “الفرقعة”.
تشمل العلامات التي تُساعد على معرفة اصابة الرباط الصليبي الامامي:
- ألم حاد ومفاجئ في الركبة.
- تورم يظهر خلال ساعات قليلة.
- ضعف القدرة على ثني الركبة أو مدّها.
- فقدان الثبات أثناء المشي أو تغيير الاتجاه.
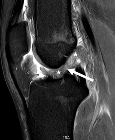
يقوم د. هشام عبد الباقي بإجراء فحص سريري دقيق مدعوم بتصوير الرنين المغناطيسي لتأكيد التشخيص وتحديد درجة الإصابة بدقة.

أعراض قطع الرباط الصليبي
تُعد أعراض قطع الرباط الصليبي من المؤشرات المهمة التي تُحدد خطة العلاج المناسبة، وتشمل:
- تورم سريع بعد الإصابة.
- ألم عند محاولة تحريك الركبة.
- ضعف في عضلات الفخذ نتيجة قلة الاستخدام.
- صعوبة في العودة للأنشطة الرياضية.
في عيادة Hip knee للدكتور هشام عبد الباقي، يتم تقييم كل حالة بشكل فردي لتحديد مدى القطع، جزئي أم كلي،وتحديد أنسب أسلوب للعلاج وفق أحدث الإرشادات العالمية.
خطوات علاج صابة الرباط الصليبي الامامي
تختلف خطة العلاج بحسب شدة الإصابة واحتياجات المريض، وتشمل:
1. العلاج التحفظي (بدون جراحة):
يُستخدم في حالات القطع الجزئي للرباط الصليبي أو للمصابين من غير الرياضيين.
يتم فيه الاعتماد على:
- الراحة وتجنب الأنشطة الشاقة.
- كمادات الثلج لتقليل التورم.
- جلسات علاج طبيعي تحت إشراف متخصص لتقوية عضلات الفخذ وتحسين التوازن.
يتميز الدكتور هشام عبد الباقي بخبرة كبيرة في وضع برامج علاجية تحفظية متكاملة تُمكّن المريض من استعادة الثبات والقدرة على الحركة دون الحاجة إلى الجراحة في بعض الحالات.
2. العلاج الجراحي (إعادة بناء الرباط الصليبي):
يُوصى بالعلاج الجراحي واجراء عملية الرباط الصليبي عند حدوث قطع كامل في الرباط الصليبي، خاصة لدى الرياضيين.
تُجرى العملية باستخدام تقنيات المنظار الحديثة التي تقلل الألم وفترة التعافي.
يُجري الدكتور هشام عبد الباقي عملية الرباط الصليبي بالمنظار مستخدمًا أحدث الأدوات الجراحية مع تطبيق بروتوكولات عالمية لضمان أفضل النتائج واستعادة الأداء الوظيفي للركبة بأمان.
3. التأهيل وإعادة التأقلم بعد العلاج:
تبدأ مرحلة التأهيل فور انتهاء العلاج، وتُعتبر من أهم مراحل التعافي. تشمل تمارين تدريجية لتحسين مدى الحركة وتقوية العضلات واستعادة التوازن.
البرنامج التأهيلي الذي يشرف عليه الدكتور هشام عبد الباقي مصمم خصيصًا لكل مريض لضمان عودة آمنة إلى النشاط الطبيعي أو الرياضي.

د. هشام عبد الباقي – خبرة وكفاءة في علاج اصابات الرباط الصليبي
يُعد الدكتور هشام عبد الباقي من رواد جراحة العظام في مصر، وله خبرة واسعة في جراحة الرباط الصليبي بمختلف درجاتها.
يمتاز بأسلوبه الدقيق في التشخيص، حيث يعتمد على الفحص الإكلينيكي الدقيق والتصوير بالرنين المغناطيسي لتحديد طبيعة الإصابة بدقة قبل وضع خطة العلاج.
كما يُعرف بمنهجه المتوازن في العلاج، إذ لا يلجأ للجراحة إلا عند الحاجة الفعلية، مفضّلًا العلاج التحفظي متى كان مناسبًا لحالة المريض.
وقد ساعد مئات المرضى من الرياضيين، لكونه أفضل دكتور اصابات ملاعب، وغير الرياضيين على استعادة حركتهم وثقتهم في الركبة من جديد، وذلك بفضل بروتوكولات التأهيل المتطورة التي يشرف عليها بنفسه بعد العلاج.

الحالات الخاصة في علاج الرباط الصليبي
يختلف علاج الرباط الصليبي من مريض لآخر، فطريقة التعامل مع الأطفال والمراهقين تختلف عن الكبار بسبب نمو العظام، بينما تتطلب الحالات الخاصة مثل كبار السن أو وجود تقوس بالساقين أو إصابات مصاحبة في الغضروف الهلالي خطة علاج دقيقة ومتكاملة.
خبرة الطبيب في تحديد الأنسب لكل حالة، سواء علاج تحفظي أو جراحي، هي ما تضمن النتيجة المثلى.
ويُعرف د. هشام عبد الباقي بخبرته الواسعة في التعامل مع هذه الحالات الدقيقة بما يحقق أفضل نتائج للمريض.
الوقاية من اصابة الرباط الصليبي
تُقلل الوقاية من خطر الإصابة بنسبة كبيرة وتشمل:
- الإحماء الجيد قبل ممارسة التمارين.
- تمارين تقوية عضلات الفخذ والورك.
- استخدام الأحذية الرياضية المناسبة.
- تعلم تقنيات القفز والهبوط الصحيحة لتقليل الضغط على الركبة.
احجز موعدك الآن مع د. هشام عبد الباقي
إذا كنت تعاني من أعراض إصابة أو قطع الرباط الصليبي، لا تؤجل التشخيص والعلاج.
احجز الآن موعدك مع د. هشام عبد الباقي، استشاري جراحة العظام والمفاصل، المتخصص في علاج إصابات الركبة والرباط الصليبي سواء بالعلاج التحفظي أو الجراحي بأحدث التقنيات.
حيث يُقدَّم لك تقييم دقيق لحالتك وخطة علاجية مخصصة تساعدك على استعادة ثبات الركبة والعودة لحياتك الطبيعية بأمان.
القاهرة:
9 شارع مصطفى رفعت – الشيراتون – مصر الجديدة،
(خلف مسجد الصديق)
تليفون: 01005416898 – 22678227
للحجز عبر الواتساب انقر هنا
كما يمكنك مراسلتنا على البريد الإلكتروني [email protected]
خبرة أكثر من 40 عام
دكتور هشام عبد الباقي استشاري جراحة العظام و المفاصل فى جامعة عين شمس
احجز موعدك الآن
ختامًا
إصابة الرباط الصليبي الأمامي من الإصابات المعقدة، لكنها قابلة للعلاج الكامل عند التشخيص الصحيح والالتزام بخطة علاجية دقيقة.
بفضل خبرته الطويلة في جراحات الركبة والعلاج التحفظي، يُعد الدكتور هشام عبد الباقي من الأسماء الموثوقة في مصر لعلاج إصابات الرباط الصليبي، سواء من خلال الجراحة الدقيقة أو البرامج التأهيلية المتقدمة، مما يمنح المريض فرصة مثالية للعودة إلى حياته الطبيعية بثقة وأمان.
مقالات ذات صلة
- اعادة عملية الرباط الصليبي
- علاج قطع الرباط الصليبي بدون جراحة
- التمرينات بعد جراحة الرباط الصليبي
- التعايش مع اصابة الرباط الصليبي
الأسئلة الشائعة حول خطوات علاج الرباط الصليبي
تصل نسبة نجاح عمليات إعادة بناء الرباط الصليبي إلى أكثر من 90% عند إجرائها على يد جراح متخصص مثل الدكتور هشام عبد الباقي، خاصة عند الالتزام ببرنامج التأهيل بعد الجراحة.
نعم، يمكن في حالات القطع الجزئي أو لدى المرضى غير الرياضيين، من خلال برنامج علاج طبيعي متكامل لتقوية العضلات وتحسين الثبات.
يستغرق التعافي الكامل عادة من 6 إلى 9 أشهر، ويعتمد على التزام المريض ببرنامج التأهيل ونوع النشاط الرياضي.

اترك تعليقاً