أنواع إصابات الملاعب الأكثر شيوعاً وطرق علاجها
تتعدد أنواع إصابات الملاعب وتعتبر من أكثر المشكلات الصحية التي تواجه الرياضيين على اختلاف مستوياتهم، سواء كانوا محترفين أو هواة.
وتزداد أهمية هذا الموضوع مع الانتشار الواسع للأنشطة الرياضية، وعلى رأسها إصابات ملاعب كرة القدم التي تمثل النسبة الأكبر من إصابات الرياضيين حول العالم.
التعامل الصحيح مع هذه الإصابات لا يقتصر على العلاج فقط، بل يبدأ بالفهم الدقيق لنوع الإصابة وأسبابها، ثم اختيار الخطة العلاجية الأنسب تحت إشراف طبي متخصص مثل الدكتور هشام عبد الباقي أفضل دكتور اصابات ملاعب.
خبرة أكثر من 40 عام
دكتور هشام عبد الباقي استشاري جراحة العظام و المفاصل فى جامعة عين شمس
احجز موعدك الآن
أنواع إصابات الملاعب
تشمل إصابات الملاعب جميع الإصابات التي يتعرض لها الرياضي أثناء ممارسة النشاط البدني، سواء في التدريبات أو المباريات الرسمية.
وتختلف شدة إصابات الملاعب من إصابات بسيطة يمكن التعامل معها بالراحة والعلاج التحفظي إلى إصابات معقدة تؤثر على المفاصل والعظام، والتي قد تُبعد اللاعب عن الملاعب لفترات طويلة.
وتُعد إصابات ملاعب كرة القدم من أكثر الإصابات الرياضية انتشارًا. وذلك نظرًا لطبيعة اللعبة التي تعتمد على الجري السريع، الاحتكاك المباشر، القفز، وتغيير الاتجاهات المفاجئ.
هذا بالطبع إلى جانب الانتشار الواسع لكرة القدم سواء كلعبة احترافية أو انتشار ممارستها كهواية.
لذلك، فإن التعامل الطبي الصحيح مع إصابات الملاعب يبدأ بالتشخيص الدقيق، ثم وضع خطة علاج وتأهيل متكاملة تحافظ على سلامة اللاعب وتضمن عودته الآمنة للملاعب.
وفيما يلي نستعرض معكم أنواع إصابات الملاعب المختلفة وأمثلة على أشهرها ونبذه عن كيفية علاجها. تعرف على إصابة نجم الأهلي بالرباط الصليبي وكيف عاد للملاعب مرة أخرى.

1. إصابات العضلات
تُعد إصابات العضلات من أكثر أنواع إصابات الملاعب شيوعًا، خاصة في الرياضات التي تعتمد على السرعة والقوة مثل كرة السلة.
تحدث إصابات العضلات عادة نتيجة الإحماء غير الكافي، أو الإجهاد الزائد، أو العودة السريعة للنشاط الرياضي بعد إصابة سابقة دون اكتمال الشفاء.
وفي إصابات ملاعب كرة القدم تحديدًا، تُعد الحركات العنيفة والتسارع المفاجئ من أبرز أسباب التمزقات العضلية.
أشهر إصابات العضلات في الملاعب
من أبرز إصابات العضلات التي يتعرض لها الرياضيون:
- شدّ أو تمزق عضلات الفخذ الخلفية، ويُعد من أكثر الإصابات شيوعًا، ويحدث غالبًا أثناء الجري السريع أو التسارع المفاجئ.
- تمزق العضلة الرباعية (عضلات الفخذ الأمامية)، وينتج عادة عن القفز أو التسديد المتكرر بقوة.
- شدّ وتمزق عضلة السمانة، ويظهر في صورة ألم حاد في الجزء الخلفي من الساق أثناء الحركة.
- تمزق العضلة الضامة، وهو شائع جدًا ضمن إصابات ملاعب كرة القدم، خاصة مع الحركات الجانبية السريعة.
- كدمات العضلات الناتجة عن الاحتكاك المباشر أو الالتحام القوي بين اللاعبين.

علاج إصابات العضلات
يعتمد علاج إصابات العضلات على درجة الإصابة. ويشمل في المراحل الأولى تقليل الحمل البدني والراحة المنظمة، مع استخدام وسائل تقليل الالتهاب.
مثل الراحة، والادوية المضادة للالتهاب وكمادات الثلج.
بعد ذلك يأتي دور العلاج الطبيعي الذي يهدف إلى استعادة المرونة والقوة العضلية تدريجيًا.
وضع برنامج تأهيلي دقيق تحت إشراف طبي متخصص يساعد على تسريع التعافي، ويمنع تكرار الإصابة عند العودة للملاعب، وهو عنصر أساسي في التعامل الاحترافي مع إصابات الملاعب.
2. إصابات الأربطة
تُعتبر إصابات الأربطة من أخطر أنواع إصابات الملاعب، نظرًا لتأثيرها المباشر على ثبات المفصل وقدرة اللاعب على الحركة.
أشهر إصابات الأربطة في الملاعب
- شدّ أربطة المفاصل: إصابة خفيفة نسبيًا، لكنها قد تتفاقم إذا لم تُعالج بالشكل الصحيح واستمر اللاعب في النشاط الرياضي.
- قطع الرباط الصليبي الأمامي: من أخطر إصابات الملاعب، ويحدث غالبًا مع التوقف المفاجئ أو تغيير الاتجاه السريع، ويؤدي إلى عدم ثبات مفصل الركبة.
- التواء وتمزق أربطة الكاحل: من أكثر إصابات الملاعب شيوعًا، ويحدث نتيجة الهبوط الخاطئ أو الالتواء المفاجئ للقدم.
- تمزق الرباط الجانبي للركبة: ينتج عادة عن التحام جانبي قوي، ويؤثر على استقرار المفصل أثناء الحركة.
- تمزق الرباط الصليبي الخلفي: أقل شيوعًا من الأمامي، ويحدث غالبًا بسبب صدمة مباشرة في مقدمة الركبة.
تحدث إصابات الأربطة نتيجة التواء مفاجئ أو سقوط خاطئ أو احتكاك مباشر مع لاعب آخر. وهي إصابات شائعة جدًا ضمن إصابات ملاعب كرة القدم على وجه الخصوص. وتتفاوت شدة الإصابة بين تمدد بسيط في الأربطة وتمزق كامل يحتاج إلى تدخل طبي متخصص.

علاج إصابات الأربطة
يعتمد العلاج على شدة التمزق، ففي الإصابات البسيطة يمكن الاكتفاء بالعلاج التحفظي والعلاج الطبيعي ودعامات المفصل.
أما في حالات التمزق الكامل أو عدم استقرار المفصل، فقد يكون التدخل الجراحي هو الحل الأمثل.
بعد العلاج الجراحي أو التحفظي، يأتي دور التأهيل الحركي الذي يهدف إلى استعادة قوة العضلات المحيطة بالمفصل وتحقيق الثبات المطلوب للعودة الآمنة للنشاط الرياضي.
خبرة أكثر من 40 عام
دكتور هشام عبد الباقي استشاري جراحة العظام و المفاصل فى جامعة عين شمس
احجز موعدك الآن
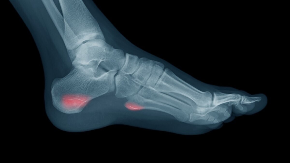
3. إصابات العظام
تشمل إصابات العظام الكسور التي قد يتعرض لها اللاعبين وهي أقل انتشاراً من اصابات العضلات والاربطة. وهي من أنواع إصابات الملاعب التي تتطلب تشخيصًا دقيقًا وسريعًا. وقد تنتج هذه الإصابات عن اصطدام مباشر، سقوط قوي، أو تحميل متكرر على العظام دون فترات راحة كافية.
أشهر إصابات العظام في الملاعب
- كسور العظام الناتجة عن الالتحام المباشر: تحدث بسبب اصطدام قوي أو سقوط عنيف، وتُعد من إصابات الملاعب التي تتطلب تدخّلًا طبيًا عاجلًا.
- كسور الإجهاد: تنتج عن الضغط المتكرر على العظام دون فترات راحة كافية، وتُعد شائعة بين الرياضيين الذين يخضعون لتدريبات مكثفة.
- كدمات العظام: إصابة أقل وضوحًا من الكسور، لكنها تسبب ألمًا عميقًا وقد تؤثر على الأداء الحركي إذا أُهملت.
- كسور القدم وكسور الكاحل: شائعة في الرياضات التي تعتمد على الجري والقفز مثل كرة القدم، وغالبًا ما تحدث نتيجة الهبوط الخاطئ.
- كسور عظام الساعد أو الترقوة: تظهر نتيجة السقوط المباشر، خاصة في الألعاب التي تتضمن احتكاكًا بدنيًا قويًا.
التعامل السريع مع إصابات العظام والتشخيص الدقيق باستخدام الفحوصات المناسبة عامل أساسي لضمان الالتئام السليم والعودة الآمنة للملاعب.

علاج إصابات العظام
يعتمد علاج إصابات العظام على نوع الكسر ومكانه، وقد يشمل التثبيت باستخدام الجبائر أو الدعامات، أو التدخل الجراحي في الحالات التي تتطلب تثبيتًا داخليًا.
بعد التئام العظام، يُعد العلاج الطبيعي مرحلة أساسية لاستعادة القوة الحركية والقدرة الوظيفية، وضمان عودة الرياضي للملاعب دون مضاعفات.
4. إصابات الغضاريف
إصابات الغضاريف، تُعد من أكثر إصابات الملاعب انتشارًا بين لاعبي كرة القدم. تحدث هذه الإصابات غالبًا نتيجة الدوران المفاجئ للركبة أو تحميل وزن الجسم عليها في وضعية غير صحيحة.
يعاني المصاب عادة من ألم داخل المفصل، تورم، وصعوبة في الحركة، وقد تظهر أعراض مثل الإحساس بعدم الثبات أو القفل المفصلي.
أشهر إصابات الغضاريف في الملاعب
- قطع وتمزق الغضاريف الهلالية بالركبة: من أكثر إصابات الغضاريف شيوعًا، ويحدث نتيجة الدوران المفاجئ أو تحميل وزن الجسم على الركبة في وضعية خاطئة.
- تآكل غضروف الركبة الناتج عن الإجهاد الرياضي: يظهر مع الأحمال المتكررة وسوء توزيع الضغط على المفصل، وقد يسبب ألمًا مزمنًا وتيبسًا بالحركة.
- إصابات غضروف مفصل الكاحل: تحدث بسبب التواءات متكررة أو إصابات قوية، وتؤثر على ثبات المفصل أثناء المشي والجري.
- إصابات غضروف مفصل الكتف: شائعة في الرياضات التي تعتمد على الرمي أو الرفع المتكرر، وقد تؤدي إلى الإحساس بعدم ثبات المفصل.
- تلف الغضروف المفصلي بعد الإصابات المتكررة: ينتج عن إهمال العلاج أو العودة السريعة للرياضة دون تأهيل كافٍ، وقد يزيد من خطر الخشونة المبكرة.
التشخيص المبكر لإصابات الغضاريف والتعامل العلاجي الصحيح يحافظ على سلامة المفصل ويقلل من احتمالية تطور التآكل أو الخشونة على المدى الطويل.

علاج إصابات الغضاريف
يعتمد علاج إصابات الغضاريف على حجم ومكان التمزق. في الحالات البسيطة، يمكن الاعتماد على العلاج التحفظي والعلاج الطبيعي لتقوية العضلات المحيطة بالمفصل.
أما في الحالات المتقدمة، فقد يكون التدخل الجراحي باستخدام منظار الركبة هو الخيار الأمثل للحفاظ على المفصل ومنع تطور الخشونة، مع برنامج تأهيلي دقيق بعد الجراحة.
5. إصابات الأوتار
تشمل إصابات الأوتار الالتهابات والتمزقات التي تصيب الأوتار المسؤولة عن نقل القوة من العضلات إلى العظام.
تنتج إصابات الأوتار غالبًا عن الإجهاد المتكرر، ضعف التوازن العضلي، أو أخطاء في تقنيات التدريب، وتُعد من إصابات الملاعب التي قد تتحول إلى حالات مزمنة إذا لم تُعالج بالشكل الصحيح.
أشهر إصابات الأوتار في الملاعب
- التهاب وتمزق وتر أكيليس (وتر العرقوب): من أكثر إصابات الأوتار شيوعًا، ويصيب لاعبي كرة القدم والجري، وينتج عن الإجهاد المتكرر أو القفز والجري المكثف.
- التهاب أو تمزق أوتار الركبة: يحدث بسبب الجري السريع أو الانطلاق المفاجئ، وقد يسبب ألمًا خلف الركبة وصعوبة في الحركة.
- التهاب وتر الرضفة (ركبة القافز): شائع بين الرياضيين الذين يعتمدون على القفز والتسديد، ويظهر في صورة ألم أسفل صابونة الركبة.
- إصابات أوتار الكتف: تظهر في الرياضات التي تعتمد على الحركات العلوية المتكررة، وقد تؤدي إلى ضعف الحركة وعدم ثبات المفصل.
- تمزق الأوتار نتيجة الإجهاد المزمن: يحدث عند تجاهل الألم والاستمرار في اللعب دون علاج، وقد يتحول إلى تمزق جزئي أو كامل.
إصابات الأوتار تحتاج إلى تعامل دقيق وصبر في العلاج، لأن العودة السريعة للنشاط الرياضي دون تأهيل كافٍ تزيد من خطر تكرار الإصابة وتحولها إلى حالة مزمنة.

يرتكز علاج إصابات الأوتار على تقليل الأحمال البدنية، العلاج الطبيعي المتخصص، وتمارين الإطالة والتقوية التدريجية.
علاج إصابات الأوتار
وفي الحالات المزمنة، قد يتم اللجوء إلى وسائل علاجية متقدمة لتحفيز التئام الأوتار، مع متابعة طبية دقيقة لضمان استعادة الأداء الرياضي بأمان.
العوامل المساعدة على حدوث إصابات الملاعب
توجد مجموعة من العوامل التي تزيد من احتمالية التعرض لـ إصابات الملاعب، من أهمها ضعف الإحماء، سوء أرضية الملعب، استخدام أحذية غير مناسبة، زيادة الأحمال التدريبية، وعدم الحصول على فترات راحة كافية.
كما أن تجاهل الإصابات البسيطة والاستمرار في اللعب رغم الألم يُعد من الأسباب الرئيسية لتفاقم الإصابات وتحولها إلى إصابات مزمنة يصعب علاجها.
خبرة أكثر من 40 عام
دكتور هشام عبد الباقي استشاري جراحة العظام و المفاصل فى جامعة عين شمس
احجز موعدك الآن
كيفية تجنب إصابات الملاعب
الوقاية تمثل خط الدفاع الأول ضد إصابات الملاعب. ويشمل ذلك الإحماء الجيد قبل أي نشاط رياضي، الالتزام بتمارين تقوية العضلات وتحسين المرونة، واستخدام الأدوات والمعدات الرياضية المناسبة.
كما يُنصح باتباع برامج تدريبية متدرجة، وعدم تحميل الجسم أكثر من طاقته، مع المتابعة الطبية الدورية لاكتشاف أي مشكلات مبكرًا قبل تطورها.
طرق علاج إصابات الملاعب
يعتمد علاج إصابات الملاعب على التشخيص الدقيق وتحديد نوع الإصابة وشدتها. تشمل الخيارات العلاجية العلاج التحفظي، العلاج الطبيعي، برامج التأهيل الحركي، الحقن العلاجية، والتدخل الجراحي عند الضرورة.
اختيار الخطة العلاجية المناسبة تحت إشراف طبي متخصص مثل الدكتور هشام عبد الباقي افضل دكتور عظام في مصر يُعد العامل الأهم في تسريع الشفاء وضمان عودة اللاعب إلى الملاعب بأمان ودون مضاعفات.

ختامًا
التعامل الاحترافي مع أنواع إصابات الملاعب يتطلب خبرة طبية دقيقة ورؤية شاملة للعلاج والوقاية. مع التشخيص السليم وخطة العلاج المتكاملة التي يقدمها الدكتور هشام عبد الباقي، يمكن للرياضيين استعادة نشاطهم بأمان والحفاظ على صحتهم الرياضية على المدى الطويل.
مقالات ذات صلة
الأسئلة الشائعة عن أنواع اصابات الملاعب
إصابات العضلات والأربطة والغضاريف تُعد من أكثر إصابات الملاعب شيوعًا، خاصة في كرة القدم.
نعم، من خلال الإحماء الجيد، التدريب الصحيح، واستخدام الأدوات المناسبة.
عند وجود تمزق شديد في الأربطة أو الغضاريف، أو في حال فشل العلاج التحفظي.
تختلف حسب نوع الإصابة وشدتها، وقد تتراوح من أسابيع إلى عدة أشهر.
