(Heterotopic ossification)
(هذه الحالة تختلف عن التهاب الفقرات التصلبي و لكن كلاهما يؤديان الى التحام مفصل الفخذ)
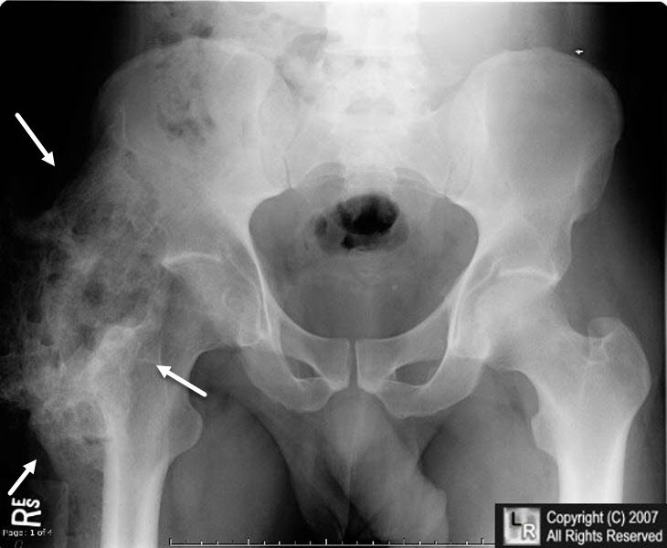
هذه الحالة قد تحدث بعد إصابات الجهاز العصبي المركزي (المخ أو الحبل الشوكي) او بعد جراحة مفصل الفخذ الصناعي حيث يحدث تكون للعظام فى الأنسجة الرخوة المحيطة بمفصل الفخذ مثل العضلات والأوتار والأربطة و قد تزداد هذه العظام صلابة بالوقت فى بعض الحالات حتى تصبح قوية مثل العظام الطبيعية بعد 6 – 18 شهرا مما يؤدي الى تيبس كامل بالمفصل و حدوث تورم حوله.

الأسباب
و حتى الآن لا يوجد تفسير علمي أكيد لسبب حدوث هذه الحالة و لماذا تصيب بعض المرضى دون غيرهم و لكن هناك نظريات تشير الى احد العوامل التالية:
- إصابة الأنسجة الرخوة
- التهابات
- زيادة مستويات بعض الهرمونات، مثل هرمون الغدة الجاردرقية
- عوامل وراثية
الأعراض
يمكن أن تتراوح شدة الحالة من خفيفة إلى شديدة. في الحالات الخفيفة، قد لا يسبب أي أعراض أو قد يسبب فقط تصلبًا بسيطًا وعدم الراحة. اما في الحالات الشديدة، فيمكن أن يكون هناك تصلب و ألم بالفخذ تجعل من الصعب المشي بالإضافة للإحساس بوجود تورم عظمي بالفخذ.
و للاسف لا توجد طريقة مضمونة للوقاية من تكون هذه العظام غير المتجانسة ، ولكن هناك بعض الأشياء التي يمكن القيام بها لتقليل المخاطر مثل:
- الادوية المضادة للألتهابات
- الكمادات الباردة
- العلاج الطبيعي
التشخيص
يتم تشخيص تكون العظام غير المتجانسة عادة من قبل الطبيب الذي يقوم بفحص الورك و مدى حركته ويسأل عن أعراض المريض.
و يمكن تشخيص هذه الحالة مبكرا بإستخدام تحليل معين أو عمل مسح ذري للعظام و لكن نادرا ما يتم إجراء ذلك. أما فى الحالات المتأخرة فيكفي عمل أشعة عادية لتشخيص الحالة, حيث تظهر الأشعات العظام الجديدة حول المفصل.

خبرة أكثر من 40 عام
دكتور هشام عبد الباقي استشاري جراحة العظام و المفاصل فى جامعة عين شمس
احجز موعدك الآن
العلاج
إذا تم إكتشاف الحالة مبكرا فلا ينصح بالبدء فى العلاج الطبيعي مباشرة حتى تختفي الأعراض الأولية المصاحبة للحالة لها مثل سخونة و إحمرار الأنسجة المحيطة بالمفصل. ثم يتم بدء العلاج الطبيعي فى محاولة للحفاظ على أكبر مدى للحركة فى المفصل مع إعطاء مسكنات لتقليل الألم (إذا لم تكن إصابة الجهاز العصبي قد أثرت على درجة الإحساس). كما أن هناك بعض الأدوية التى قد تساعد على تقليل تكون العظام فى الحالات المبكرة.
* البايفوسفونيت: البايفوسفونيت هي أدوية تساعد على تكسير العظام. غالبًا ما يتم استخدامها لعلاج هشاشة العظام، ولكن يمكن استخدامها أيضًا لعلاج تكون العظام غير المتجانسة.
* العقاقير المضادة للالتهابات غير الستيرويدية: و هي مسكنات للألم تساعد أيضًا في تقليل الالتهاب.
أما فى الحالات المتأخرة التى حدث بها تكون لعظام قوية حول مفصل الفخذ و تيبس كامل للمفصل فلا بديل سوى الجراحة لأزالة العظام الزائدة و تحريك المفصل. و نسبة نجاح هذه الجراحة تتعدى قليلا نسبة 90%. و لتجنب تكون العظام بعد الجراحة يتم إعطاء المريض أدوية خاصة لفترة معينة بعد الجراحة. كما قد يتم إعطاء المريض جرعة بسيطة من الإشعاع بعد الجراحة.
References:
https://www.sciencedirect.com/science/article/pii/S1877065718304597

اترك تعليقاً